Before & Afters

There are many cosmetic solutions in dentistry today. It is truly amazing to see a smile transformed. When a person is confident about his or her smile, it makes a world of difference in that person's life.

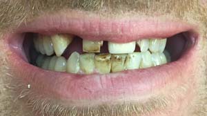
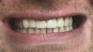
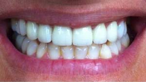
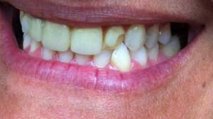
Cosmetic Dentistry- Before and After Examples

Before
After
Before
After

There are so many exciting materials and methods available today to vastly improve both function and aesthetics!

Before
After
Before
After